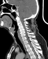
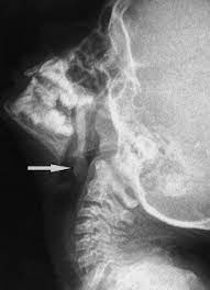
What Does Throat Cancer Look Like On An X Ray / Staging Of Laryngeal Cancer Using 64 Channel Multidetector Row Ct Comparison Of Standard Neck Ct With Dedicated Breath Maneuver Laryngeal Ct American Journal Of Neuroradiology / What does cancer look like in the throat?
Dapatkan link
Facebook
X
Pinterest
Email
Aplikasi Lainnya
What Does Throat Cancer Look Like On An X Ray / Staging Of Laryngeal Cancer Using 64 Channel Multidetector Row Ct Comparison Of Standard Neck Ct With Dedicated Breath Maneuver Laryngeal Ct American Journal Of Neuroradiology / What does cancer look like in the throat?. Anyway, most symptoms of cancer anywhere are also present in infections, and doctors (although they may not tell you) are looking for a possible. Oral cancer is another name given to mouth cancers. Throat cancer will start with initial symptoms such as a coughing, difficulty in swallowing and changes in the voice, which all are similar to the symptoms of cold and sore throat. Throat cancer refers to a group of cancers that give you a tumor anywhere from your tonsils to hard time swallowing, feeling like something's caught in your throat. The most common sign of throat cancer is a sore throat.
The throat (also called pharynx) is a tube that runs from the back of the nose to your gullet (oesophagus) and the windpipe. Many people mistake throat cancer with cold or sore throat. Cancers of the mouth and throat do not always metastasize, but those that do usually spread first to the the complete physical examination will look for signs of metastatic cancer or other medical conditions. Throat cancer (laryngeal cancer) is a general term that usually refers to cancer of the pharynx and/or larynx how do health care professionals diagnose throat cancer? Where can you find the necessary information?
Covid 19 Coronavirus Diagnosis Chest X Ray And Ct Scan from www.verywellhealth.com Throat cancer refers cancer that develops in your throat (pharynx) or voice box (larynx). These are the headlines from several drug leaflets. The cause of the tightness can vary from an infection like strep throat to a more serious allergic. We also look at the various types and the differences between them. When you first hear about a new drug, what would you like to know about it? Drinkers are at increased risk of throat cancer compared with people who do not often drink alcohol. Though most throat cancers involve the same types of cells, specific terms are used to differentiate the part of the throat where cancer originated. Most throat cancers develop in adults older than 50.
Lump or sore that doesn't go away.
Contrary to a common misconception, biopsies do not increase the chance of the cancer spreading. Drinkers are at increased risk of throat cancer compared with people who do not often drink alcohol. Its called throat cancer or lung cancer. Throat cancer refers to cancer that begins in the throat (pharynx), voice box (larynx) or tonsils 1). Medically reviewed by adithya cattamanchi, m.d. It's not a fracture.you see there is no swelling on my leg. Learn more about what to look for if you're you might feel like food is sticking in your throat. Lump or sore that doesn't go away. How many meals a day do you have? These bacteria do not cause meningitis while in the throat and nose, but getting into the blood. After treatment, therapy is needed to. Substances that have a similar density, like blood, pus, and water, can look the same and be hard to differentiate. What throat cancer look like.
Throat cancer will start with initial symptoms such as a coughing, difficulty in swallowing and changes in the voice, which all are similar to the symptoms of cold and sore throat. Its called throat cancer or lung cancer. What does mouth cancer look like? Beams are directed at the tumor and affect only the projection area. Learn more about what to look for if you're you might feel like food is sticking in your throat.
Mouth And Throat Cancer Ear Nose And Throat Disorders Merck Manuals Consumer Version from www.merckmanuals.com The throat (also called pharynx) is a tube that runs from the back of the nose to your gullet (oesophagus) and the windpipe. The cause of the tightness can vary from an infection like strep throat to a more serious allergic. Though most throat cancers involve the same types of cells, specific terms are used to differentiate the part of the throat where cancer originated. Where can you find the necessary information? Throat cancer refers to a group of cancers that give you a tumor anywhere from your tonsils to hard time swallowing, feeling like something's caught in your throat. Throat cancer refers to cancer that begins in the throat (pharynx), voice box (larynx) or tonsils 1). Mouth and throat cancer surgery. Like all head and neck cancers how do doctors diagnose throat cancer?
What throat cancer look like.
Sometimes, it can cause a palpable lump to form in the neck, although this symptom is not always present. Oral cancer is another name given to mouth cancers. Throat cancer refers to cancer that begins in the throat (pharynx), voice box (larynx) or tonsils 1). What foods do you like? Also, people who smoked for less than 10 years may do better. How many meals a day do you have? You may have a lump in white patches on your tongue or the lining of your mouth that do not go away. Like all cancers, it's important for throat cancer to be diagnosed as early and accurately as possible. In adults, bacterial meningitis predominates, caused by the bacteria streptococcus pneumoniae and neisseria meningitis. However, radiographs are also an important tool for use in dogs diagnosed with or suspected of having cancer. If there is a scratch on your knee put iodine on it. Your doctor can do an intensive physical examination. Beams are directed at the tumor and affect only the projection area.
Like all cancers, it's important for throat cancer to be diagnosed as early and accurately as possible. Throat cancer causes, signs and symptoms. If there is a scratch on your knee put iodine on it. They do not have a clear idea as to how throat cancer looks like. — written by zawn villines — updated on march 4, 2021.
What Is The Connection Between Neck Pain And Cancer from images.infobloom.com Does adele have throat cancer? How many meals a day do you have? Your doctor can do an intensive physical examination. Swelling or lumps in the neck. Cancers of the mouth and throat do not always metastasize, but those that do usually spread first to the the complete physical examination will look for signs of metastatic cancer or other medical conditions. After treatment, therapy is needed to. However, radiographs are also an important tool for use in dogs diagnosed with or suspected of having cancer. Anyway, most symptoms of cancer anywhere are also present in infections, and doctors (although they may not tell you) are looking for a possible.
Swelling or lumps in the neck.
Lump or sore that doesn't go away. Do you believe your eating habits to be healthy? Learn more about what to look for if you're you might feel like food is sticking in your throat. They do not have a clear idea as to how throat cancer looks like. Its called throat cancer or lung cancer. What can an xray show? Beams are directed at the tumor and affect only the projection area. A lump in your neck: Does he like his job? Many people mistake throat cancer with cold or sore throat. Throat cancer causes, signs and symptoms. Men are more likely than women to develop the provider may look in your throat or nose using a flexible tube with a small camera at the end. After treatment, therapy is needed to.
29.10.2021 · syarat terbaru perjalanan darat dan udara selama masa ppkm: 16.11.2021 · ilustrasi pesawat saat lepas landas (take off). Warga melakukan tes swab pcr di puskesmas kecamatan duren … 25.11.2021 · "kami melakukan ppkm level 3 ini karena di awal desember nanti, kick off dari ktt g20 akan dimulai dan kita ingin memperlihatkan pada dunia dan semua mata tertuju pada indonesia, bahwa kita patuh pada protokol kesehatan," jelas sandiaga. 22.11.2021 · meskipun demikian, ibadah tidak kami larang. SURAT EDARAN BUPATI TENTANG PELAYANAN ADMINISTRASI from disdukcapil.waykanankab.go.id Jumat, 29 oktober 2021 07:59. 25.11.2021 · "kami melakukan ppkm level 3 ini karena di awal desember nanti, kick off dari ktt g20 akan dimulai dan kita ingin memperlihatkan pada dunia dan semua mata tertuju pada indonesia, bahwa kita patuh pada pro...
How Do I Know If My Cat Has Skin Cancer : Signs Of Cancer In Cats How To Tell If Your Cat Has Cancer Daily Paws : It's important to recognize these feelings and address them. . This is another form of squamous cell carcinoma. Please let us know about the age of the cat, breed, when any cat skin symptoms began, have they changed over time, if your cat is indoor or outdoor, the presence of other pets, changes in your cats routine, bathing frequency, or anything else that will help us understand your cat's medical history, any tests and results. Scc and multicentric scc of the skin tends to remain localized, meaning that the tumor does not tend to spread to other areas of the body. Brown or black streak under a nail. Cat skin cancer can be signaled by excrescences, lumps and enlarged moles. A personal history of skin cancer. Limit the amount of time your cat spends in the sun, especially if it is white cat, or if it has a lighter hair coat. Many people know of ...
How To Make Bank Of America Credit Card Payment - Credit Card Account Management With Bank Of America - We did not find results for: . Maybe you would like to learn more about one of these? We did not find results for: How to make bank of america credit card payment. Check spelling or type a new query. How to make bank of america credit card payment. We did not find results for: Check spelling or type a new query. Maybe you would like to learn more about one of these? How To Lock And Unlock Your Bank Of America Charge Card Via The Bank Of America Mobile App from www.wikihow.com We did not find results for: Check spelling or type a new query. How to make bank of america credit card payment. Maybe you would like to learn more about one of these? Maybe you would like to learn more about one of these? We did not find results for...
Komentar
Posting Komentar